¿Qué es el diseño de sonrisa?
Es un proceso de planificación estética y funcional que define la forma, tamaño y color de tus dientes considerando tu rostro, labios y encías. Lo realizamos con tecnología digital (DSD) y una prueba temporal llamada mock-up para que veas y sientas tu nueva sonrisa antes de iniciar.
- 📸 Fotografía clínica y facial
- 🖥️ Diseño digital (líneas de referencia, proporciones, sonrisa)
- 🧪 Mock-up directo: prueba sin tallar (cuando aplica)
- 🎯 Plan personalizado: carillas, coronas, blanqueamiento, contorneado, etc.
Visualízalo
Previsualización digital y mock-up antes de comenzar.
Proporción
Basado en líneas y medidas faciales (DSD).
Natural
Resultados armoniosos, sin exagerar el blanco o tamaño.
Digital
Escaneo, guías y materiales de alta estética.
Paso a paso del diseño de sonrisa
- 🗣️ Valoración & fotos: expectativas, estudio facial y sonrisa.
- 🧭 Registros: escaneo/impresiones, tonos y proporciones.
- 🖥️ DSD: diseño digital con líneas estéticas y simulación.
- 🧪 Mock-up (prueba sin tallar cuando aplica).
- ✂️ Preparación mínima (si es necesario) y toma de tonos.
- 🏭 Laboratorio: carillas/coronas en porcelana o resina estratificada.
- 🦷 Prueba y adhesión: cementado y pulido final.
- 🛡️ Cuidados: férula nocturna si rechinas, higiene y controles.
Selección de color (shade)
Utilizamos guías de color (A/B/BL) y referencias fotográficas bajo luz controlada para que el resultado sea blanco, pero natural. Si lo deseas, podemos complementar con blanqueamiento previo.
¿Qué tratamientos se integran?
Blanqueamiento
Aclara antes de definir tonos finales (opcional).
Carillas
Porcelana o resina según tu caso y objetivos.
Contorneado
Ajustes de forma para armonía y simetría.
Encía
Nivelado gingival si se requiere para la estética.
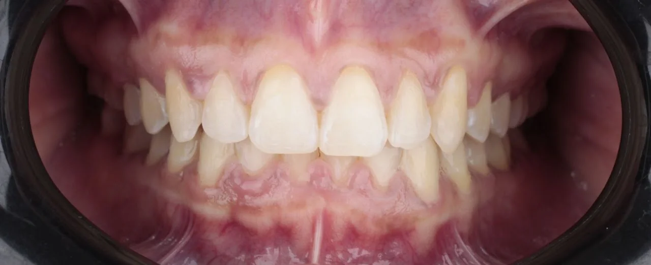
Secuencia de diseño y carillas (demo)
¿Para quién es?
- Quienes buscan mejorar forma, tamaño y color.
- Diastemas, dientes cortos o fracturas leves.
- Desgaste por bruxismo (con férula posterior).
- Casos que desean estética natural, no artificial.
A valorar
- Gingivitis/periodontitis activa (primero control periodontal).
- Caries o restauraciones profundas (rehabilitación previa).
- Expectativas irreales (se prioriza naturalidad y función).
¿Quieres ver tu nueva sonrisa antes de empezar?
Agenda tu diseño de sonrisa con DSD y mock-up. Atendemos en Veracruz y Boca del Río.














