Dolor · Conservación · Salud

Endodoncia en Veracruz

Tratamiento de conductos: alivio del dolor y conservación dental

¿Qué es una endodoncia?

La endodoncia, también conocida como tratamiento de conductos, es un procedimiento que se realiza cuando el nervio del diente está dañado o infectado. Su objetivo es aliviar el dolor, limpiar el interior del diente y conservar la pieza en boca.

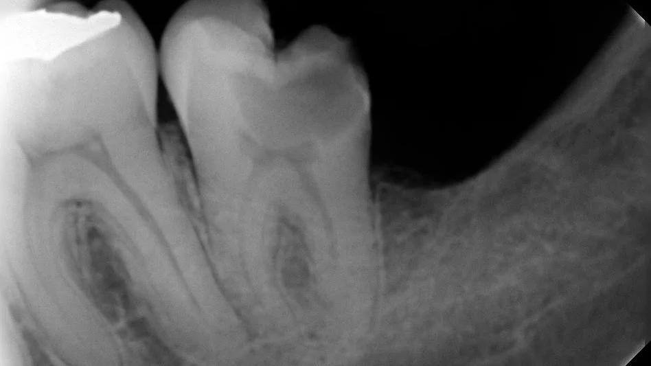
Ilustración de tratamiento de endodoncia
Beneficios

Elimina el dolor

Alivia molestias causadas por caries profundas o infecciones.

Conserva tu diente

Busca evitar extracciones y mantener tu sonrisa completa.

Salud bucal

Previene que la infección se extienda a otras zonas.

Aprende más sobre endodoncia

Si quieres conocer más a detalle cuándo se indica y cómo funciona este tratamiento, te invito a leer nuestra nota en el blog:

📖 Leer más sobre endodoncia
FAQs

Preguntas frecuentes sobre endodoncia

La endodoncia es un tratamiento de conductos con el cual se elimina el nervio dental por completo, y en su lugar se coloca un relleno estéril en el diente con el propósito de que se mantenga sellado, saludable y libre de bacterias. En ocasiones se utilizan materiales con propiedades antisépticas que al quedarse brindan una protección extra de larga duración.

Primero se realiza el diagnóstico para determinar la causa. Si es por infección, se requieren antisépticos especiales y un relleno antibacterial. Si es por fractura, el procedimiento suele ser más rápido.

Posteriormente se anestesia, se aísla el diente y se limpian los conductos con limas endodónticas y líquidos antisépticos. Finalmente se rellena con un material estéril llamado gutapercha. ¡Y listo!

La endodoncia limpia por completo el interior del diente, retirando nervio, bacterias y tejido dañado. Permite rehabilitar el diente y mantenerlo en boca sin dolor ni infección.

Sí ✅. Si tu diente es candidato a endodoncia, generalmente se puede evitar la extracción dental.

Después de la endodoncia es necesario rehabilitar el diente: puede ser con una resina, una incrustación o una corona completa que proteja la estructura restante.

¿Tienes dolor de muela?

Agenda una valoración para determinar si necesitas una endodoncia u otra alternativa de tratamiento.

WhatsApp