Tratamientos

💦 Profilaxis Ultrasónica en Veracruz

La base de una sonrisa saludable

Eliminamos sarro, placa bacteriana y manchas de forma precisa y cómoda usando ultrasonido dental. Ideal para prevenir gingivitis y mantener encías sanas.

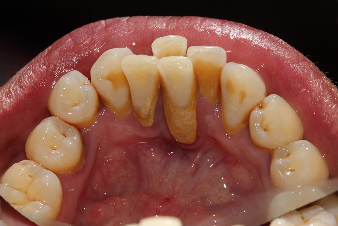
Antes de la profilaxis ultrasónica
Antes: acúmulo de sarro y pigmentaciones, ¿puedes notar la franja de sarro calcificado entre los dientes y la encía?
Después de la profilaxis ultrasónica
Después inmediato: superficies limpias y encías libres de sarro, la encía comienza su recuperación y sana en pocos días al mejorar la higiene.

¿Qué es el ultrasonido dental?

Equipo que genera vibraciones ultrasónicas para desprender el sarro con mínima molestia. Usa agua para enfriar la punta y mejorar la limpieza.

  • Rápido, seguro y preciso
  • Auxilia en la prevención de gingivitis
  • Debe ser utilizado por profesionales

¿En qué consiste una limpieza bucal?

Tratamiento en consultorio para eliminar manchas externas, sarro y placa bacteriana de dientes y encías. Se utilizan curetas o escareador ultrasónico (equipo). Al finalizar, pulido con pasta abrasiva fluorada para fortalecer la estructura dental gracias a la unión del flúor con los minerales del esmalte, que dan como resultado un esmalte más fuerte y resistente a la caries.


¿Qué incluye una limpieza dental?

  • Enjuague antiséptico inicial
  • Retiro de sarro con ultrasonido
  • Pulido final y recomendaciones
  • Técnica de cepillado personalizada

Costo de Profilaxis Ultrasónica en Veracruz

Desde $800

En algunos casos se requieren 2 sesiones para permitir que las encías desinflamen gradualmente, el costo es por sesión.

Preguntas frecuentes

Todo sobre el sarro y la profilaxis

El sarro (cálculo) es una calcificación de placa y restos orgánicos. Puede pigmentarse por café, tabaco, etc. Produce mal olor y inflamación gingival (gingivitis), que sin tratamiento progresa a periodontitis.

Por higiene inadecuada: la placa dentobacteriana (película blanda) no retirada se calcifica con el tiempo. La prevención diaria es clave para evitar que se convierta en sarro.

No. El cepillado y los auxiliares evitan que se forme, pero una vez calcificado, sólo se retira con profilaxis ultrasónica o instrumentos profesionales.

No. Puede ayudar a prevenir la placa; el sarro formado requiere limpieza profesional.

Con ultrasonido, con curetas y con láser. En ocasiones se usan auxiliares para reblandecer el sarro y facilitar su retiro.
Sarro dental en incisivos
Sarro dental: aspecto y localización frecuente en cuello de dientes.
Sarro dental antes de limpieza
Eliminación con ultrasonido reduce la inflamación gingival. El sarro se forma a partir de residuos de alimentos + bacterias

¿Listo para tu limpieza?

Atendemos en Veracruz y Boca del Río. Respuesta rápida por WhatsApp.

WhatsApp